实体瘤CAR-T疗法全新升级!抗癌效果翻倍!多种新型靶标挑战结直肠癌!
随着我国人口老龄化的趋势不断扩大,加之饮食结构的改变,国内结直肠癌的发病率和死亡率一直居高不下。据2018年中国癌症统计报告显示:我国结直肠癌发病率、死亡率在全部恶性肿瘤中分别位居第3及第5位,其中新发病例37.6万,死亡病例19.1万。
然而不幸的是,多数患者在确诊时已属于中晚期。手术仅作为对患者的姑息治疗方法,或是仅用于消除对患者影响较大的症状,而以辅助治疗为主,一般治疗的预后都不理想。
自从肿瘤免疫治疗成为第四种癌症治疗方法,研究者们逐渐将目光投向近几年来的热门疗法——嵌合抗原受体T细胞免疫(CAR-T)疗法。
给CAR安装不同的“雷达”,精准狙击癌细胞
众所周知,CAR-T在治疗恶性血液学肿瘤方面取得的成果有目共睹,这全都得益于血液肿瘤的肿瘤细胞中的祖传靶点——CD19,此靶点只存在于肿瘤细胞中而不存在于正常细胞中。因此在肿瘤治疗中可以依靠此靶点带领CAR-T细胞找到并消灭癌细胞,但CAR-T在实体瘤方面的成绩却乏善可陈。
因此,CAR-T治疗需要先收集患者自身的T细胞,然后给它们加入一段外源基因,使其表面表达CAR受体,CAR受体上可以装上针对不同配体的“雷达”,从而使患者自身的免疫细胞能够识别不同的肿瘤,并将其消灭。
尤其是晚期结直肠癌具有较高的死亡率,几乎没有更有效的治疗方法。幸运的是,近些年来的CAR-T研究成果给晚期结直肠癌患者带来了新的希望!

结直肠癌中CAR-T细胞疗法的潜在靶点主要包括抗4-1BB(ANTI-4-1BB)、癌胚抗原(CEA)、GUCY2C、TAG-72、EpCAM、上皮糖蛋白40(EGP40)、NKG2D、HER-2、重组人干扰素α/β受体1(IFNAR1)、prominin-1(CD133)、上皮糖蛋白2(EGP-2)。
CYAD-01单用或联合标准化疗效果均较佳
靶点:NKG2D
今天小编介绍的第一款能够干掉结直肠癌的“高光”CAR-T叫做CYAD-01,它的“雷达”所能检测到的靶点NKG2D很不简单,此款靶点在正常细胞中不表达或表达较少,但当细胞受到感染或发生癌变时,这些配体的表达量会大量增加。简而言之,以NKG2D作为靶点,能够在极少误伤正常细胞的前提下,精准定向狙击癌细胞。
单药使用疗效好
THINK试验正在评估单独使用CYAD-01对于7种类型的难治性癌症患者的治疗效果,其中包括5种实体肿瘤(结直肠癌、卵巢癌、膀胱癌、三阴性乳腺癌和胰腺癌)和2种血癌(急性髓细胞性白血病和多发性骨髓瘤)。
这项研究目前仅招募14例患者,其中包括11例转移性结直肠癌、2例卵巢癌和1例胰腺癌患者。结果显示,4例患者(29%)达到疾病稳定,分别为3名转移性结直肠癌患者和1名卵巢癌患者。
并且使用不同治疗剂量的患者均观察到疾病稳定,分配到最高剂量组的2例转移性结直肠癌患者中的疾病稳定持续时间甚至不少于4个月。
与化疗强强联合
SHRINK试验则是直接研究CYAD-01与标准化疗(称为FOLFOX)联合治疗结直肠癌肝转移患者的治疗效果。
此项试验共招募3例未曾针对转移灶进行治疗的结直肠癌患者,结果所有患者均从联合治疗方案中获益,其中1例患者达到肿瘤完全缓解,另外2例患者肿瘤部分缓解。而且联合疗法耐受性好,安全且无严重不良事件发生。
针对CEA阳性CRC患者,CAR-T疗法安全又有效
靶点:CEA
癌胚抗原(CEA)是具有人类胚胎抗原特性的酸性糖蛋白,是一种广谱的肿瘤标志物。
此项研究主要以5个递增剂量的CAR-T细胞治疗10例CEA阳性的转移性结直肠癌患者,结果并未显示出与CAR-T治疗相关的严重毒副反应事件,有7例患者治疗后病情稳定,其中2例患者病情稳定超过30周,另外2例患者肿瘤病灶缩小,多数患者血清CEA水平明显下降甚至可观察到有CAR-T细胞的增殖,并对于CEA阳性患者来说,高剂量CAR-T细胞治疗可以耐受。

该研究表明,CAR-T细胞治疗CEA阳性的结直肠癌的有效性和安全性是极为可观的。

患者P9的PET/CT显示肿瘤活性明显减弱

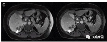
通过MRI观察到患者P10的一个肝脏病变发生萎缩
靶向EpCAM抗原的CAR-T的杀伤作用不可小觑
靶点EpCAM
上皮细胞黏附分子(EpCAM),又名CD326,是一种跨膜糖蛋白,在结直肠癌的发生、发展中发挥着重要作用,且已被用于结直肠癌治疗。
在一项山西医科大学的研究论文中,研究人员用转染T细胞构建靶向EpCAM抗原的CAR-T细胞(抗EpCAM-CAR-T),将裸鼠分为CAR-T组(注射转染EpCAM-CAR的T细胞)、空载体组(注射转染空载体的T细胞)、T细胞(注射普通T细胞)和空白组(注射培养基),每组6只。
结果通过解剖裸鼠,剥离瘤体,进行肉眼观察,并用容积法测量瘤体体积。结果发现,EpCAM-CAR-T组的瘤体最轻(2.31g),平均体积最小(281.01mm3),如下图所示。

这一结果表明,EpCAM-CAR-T细胞对EpCAM阳性结直肠癌细胞发挥了杀伤作用。
生存期翻5倍!新型CAR-T疗法将开展人体试验
靶点GUCY2C
来自Jefferson
Health的Sidney
Kimmel癌症中心(SKCC)的研究人员表示,CAR-T细胞疗法可以成功杀死肿瘤(结直肠癌)并预防小鼠疾病模型中肿瘤的转移性生长。相关研究结果发表在《Cancer
Immunology Research》期刊上,值得一提的是,发表在该期刊上的研究是进入到人体临床试验前的最后一步。

这款结肠直肠癌的肿瘤抗原称为GUCY2C。Jefferson药理学和实验治疗系主任,Scott Waldman博士将该抗原鉴定为结肠直肠癌的潜在生物标志物和治疗靶点。
为了更精准的模拟人类晚期疾病,在进一步的实验中,Snook博士及其同事还研究了发生肺转移的结直肠癌小鼠模型,这是结直肠癌患者发生转移的常见部位。结果显示:接受CAR-T治疗的小鼠在100天内存活,并且无转移,而对照组的平均存活时间仅为20天,这意味着接受CAR-T治疗的小鼠生存期是对照组的5倍!

除了上述提到的比较突出的研究外,CAR-T治疗结直肠癌的主要靶点还包括CD133、EGFR、HER2等。
近年来,科学家们已经做出了相当大的努力来开发新的方法攻克结直肠癌等实体瘤的障碍,并采用优化策略用于针对这些特定适应症的CAR-T疗法。我们期待越来越多的临床前/临床试验数据能够拼凑出一幅完整的拼图,充分展示CAR-T细胞疗法治疗结直肠癌等实体瘤的真正实力。
参考资料:
1.https://www.mdpi.com/2077-0383/9/1/182/htm#B114-jcm-09-00182
2.https://cancerimmunolres.aacrjournals.org/content/early/2018/04/17/2326-6066.CIR-16-0362.figures-only
3.https://www.cell.com/molecular-therapy-family/molecular-therapy/fulltext/S1525-0016(17)30108-9
4.https://cancerimmunolres.aacrjournals.org/content/6/5/509.figures-only
5.http://cancerimmunolres.aacrjournals.org/content/early/2018/04/17/2326-6066.CIR-16-0362#
本文转载自“无癌家园”。
